Wat is een hielspoor?

Een hielspoor is een verkalking aan de onderkant van het hielbot (calcaneus). Deze zit bij de aanhechting van de peesplaat die naar de voorvoet loopt. Een hielspoor is waarneembaar op röntgenfoto, maar ook is hij goed te zien op een echo.

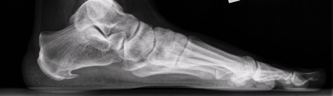
Hielspoor op röntgenfoto

De hielspoor hoeft niet altijd pijn te doen, zolang deze geen ontsteking veroorzaakt. Als men 100 mensen van de straat haalt en bij deze mensen gaat onderzoeken op hielspoor, zullen 30 mensen een hielspoor hebben waar ze geen weet van hebben. De pijn die mensen hebben met hielspoor komt omdat de hielspoor een ontsteking in de peesplaat veroorzaakt.

Oorzaken van een hielspoor

Een hielspoor kan verschillen de oorzaken hebben en is vaak een combinatie van factoren:

  • Gewichtstoename;
    Hierbij kunt u denken aan b.v. zwangerschap
  • Overbelasting;
    Denk hierbij aan hardlopen. Zeker als u gelijk fanatiek gaat lopen en de voet is dit niet gewend, dan kan het zijn dat de er een hielspoor om de hoek komt kijken.
  • Voetafwijking;
    Neem bijvoorbeeld een platvoet waar de peesplaat op rek komt te staan.
  • Ouder worden;
    Naarmate u ouder wordt kan de voet doorzakken, ook dan is er kans dat de peesplaat meer op rek komt te staan.
  • Verkeerd schoeisel;
    Als men geen goede ondersteuning van de schoen ondervindt.
  • Verkeerd looppatroon;
    U voeten staan naar binnen gekanteld( pronatie) en u loopt daardoor niet goed op de voeten.

Deze oorzaken hebben alles te maken met het feit dat op de peesplaat een langdurige druk wordt uitgeoefend. Als gevolg hiervan zal het lichaam reageren en ontstaat er een vergroeiing van het van het bot (verkalking) aan het hielbot, waar de peesplaat is aangehecht. De pijn die u kunt voelen heeft te maken met een ontsteking die de hielspoor kan veroorzaken in de peesplaat. De hielspoor zelf doet geen pijn.

Peesplaatontsteking

Symptomen van een hielspoor

De pijn die u kunt hebben bij een hielspoor zijn meestal ’s morgens als men uit bed stapt (dit noemt men startpijn) of als men langere tijd heeft gezeten. Dit komt omdat in rust de spieren en pezen enigszins verstijven en verkorten. Wordt er dan bij het opstaan weer druk op de peesplaat uitgeoefend, kan dit een stekende pijn veroorzaken in de voet, die na een stukje lopen weer weg kan trekken doordat de peesplaat versoepelt.

Een hielspoor kan ook verergeren zodat u in uw dagelijkse werkzaamheden beperkt wordt. De pijn kan verergeren en zelfs in rust aanhouden. Het is dus raadzaam om u te laten behandelen.

Behandelen van een hielspoor

Niet-operatief

U kunt om te beginnen voordat u uit bed stapt wat rekoefeningen doen zoals bijvoorbeeld met een gestrekt been uw tenen naar uw lichaam trekken. Natuurlijk is daarmee het probleem niet opgelost en is het raadzaam om naar uw huisarts te gaan die u eventueel weer doorstuurt naar een podoloog. De podoloog kan constateren (klinisch of met een echo) of het inderdaad om een hielspoor gaat. Deze kan dan u adviseren om therapiezolen te laten maken en/of bijvoorbeeld naar een fysiotherapeut of andere discipline te gaan.

Oefeningen om de peesplaat onder de voet te laten herstellen

In deze video laten wij u zien hoe u met oefeningen de peesplaat sneller kunt laten herstellen. Hoe eerder de fasciitis plantaris wordt behandeld, des te groter de kans op herstel. Als u te lang wacht, kan de klacht verergeren en kan er meer schade aan de pees worden toegebracht.

Lees meer over de oefeningen

Operatief

Het komt zelden voor dat de niet-operatieve behandelingen niet helpen en de patiënt zoveel klachten heeft dat een operatieve oplossing voor het probleem moet worden gezocht. Is een behandeling met operatie noodzakelijk, dan zijn er verschillende operaties van een hielspoor mogelijk.

Heeft u last van een hielspoor?

Podozorg Nederland is een groep (register) podologen en podotherapeuten die u graag helpen met voetklachten door een hielspoor. Met meer dan negentig Podozorg praktijken zit er altijd een praktijk bij u in de buurt! Klik op de onderstaande knop en vind de dichtstbijzijnde Podozorg praktijk.

Vind een praktijk

Over de auteur

Dit artikel is mede mogelijk gemaakt door Podozorg Nederland. Deze groep gelijkgestemde podologen willen samen maar één ding: de allerbeste zijn in hun vak. Dat kan alleen bereikt worden als we blijven leren en ontdekken. Daarom delen zij hun kennis middels deze publicaties.

Wordt uw behandeling vergoed?

Bij de meeste zorgverzekeraars betaalt u aan de (register) podoloog alleen de eventuele eigen bijdrage. Wordt uw behandeling volledig vergoed, dan betaalt u natuurlijk helemaal niets. U hoeft de behandeling dan ook niet voor te schieten, uw (register) podoloog declareert rechtstreeks bij uw zorgverzekeraar.

Lees meer over vergoedingen

Onze patiënten aan het woord

Lees alle ervaringen

arrow_circle_left
  • format_quote

    Ervaring van Adrie

    “Nadat ik de zolen ben gaan dragen zijn de klachten volledig verdwenen en heb ook geen medicijnen meer nodig.”

  • format_quote

    Ervaring van Ria

    “Ik ben zeer tevreden over mijn steunzolen. Vanaf de eerste dag heb ik ze hele dagen in m'n schoenen zitten.”

  • format_quote

    Ervaring van Karin

    “Zes weken geleden ben ik geholpen door Podozorg. Na 2 jaar pijn is hier uiteindelijk een juiste diagnose gesteld en ik ben nu bijna pijnvrij!”

  • format_quote

    Ervaring van Gerda

    “De podoloog staat altijd voor ons klaar met tips en info en loopt graag een stapje harder voor zijn cliënten.”

  • format_quote

    Ervaring van Clasina

    “Podozorg Nieuwpoort reageerde snel op mijn mail en we konden ook vlug terecht voor een afspraak. De nieuwe zooltjes lopen fijn en we zijn dan ook heel tevreden.”

arrow_circle_right

Heeft u last van pijnlijke voeten?

Heeft u last van pijn of andere klachten bij het lopen of staan? U bent niet de enige!

In onze Podozorg praktijken doen we dagelijks ervaring en kennis op over een groot aantal voetklachten. Deze kennis en ervaring hebben we gebundeld en voor u beschikbaar gesteld.

Alles over voetklachten

Recente publicaties

  • Pijn onder de voorvoet

  • Hielspoor

  • Beknelde zenuw in de voorvoet

  • Kromme stand van de teen

  • Pijnlijke achillespees

  • Bult bij de kleine teen

Recente publicaties

  • 14 oktober 2025

    Zijn barefootschoenen geschikt voor de ouder wordende mens?

    De barefootschoen wordt steeds populairder, ook bij ouderen. Maar is het wel verstandig om op deze schoenen op latere leeftijd te gaan wandelen?

    Door Jacqueline Lakeman

  • 07 augustus 2025

    Multidisciplinaire zorg kijkt verder

    Multidisciplinaire samenwerking helpt bij het effectief behandelen van voetklachten en gerelateerde problemen door inzet van diverse zorgverleners.

    Door Frank Henzen

  • 22 juli 2025

    Platvoeten bij kinderen

    Platvoeten bij kinderen zijn meestal onschuldig, maar soms reden voor onderzoek. Herken signalen die kunnen wijzen op een afwijkende ontwikkeling.

    Door Mienke van der Goot

  • 03 juli 2025

    De juiste behandeling voor voetklachten

    Echografisch onderzoek helpt bij het vinden van de oorzaak van voetklachten en leidt tot een gerichte, effectieve behandeling op maat.

    Door Lisette de Graauw

  • 17 juni 2025

    “Ik krijg er kromme tenen van!”

    Kromme tenen ontstaan vaak door een doorgezakte voorvoet en kunnen leiden tot eelt, nagelproblemen of pijn bij staan en lopen.

    Door Podozorg Nederland

  • 19 mei 2025

    Pijn aan uw teen na stoten: wat als het niet overgaat?

    Heeft u uw teen gestoten? Als het kapsel en de bandjes om het teengewricht niet stevig genoeg meer zijn kan een instabiel teengewricht ontstaan.

    Door Nicole Drenth